Effectiveness of Mind Switch® technology proven with brain scans
The Mind Switch® app is based on the same technology as the Mind Switch® Fear & Phobia app (available in the US), the effect of which has been proven in an fMRI study.
The Mind Switch® Fear & Phobia App has been shown to affect the brain circuitry of fear. Where fear and stress originate in the human brain, in the amygdala of the limbic system. By using the Mind Switch® Apps, new neuronal connections are made possible.
According to many test persons and our own experiences, the Mind Switch® App and the Fear & Phobia Mind Switch® App work for all kinds of fears and in many conceivable stress situations. We wanted to verify this feedback that the app works quickly and sustainably with a scientific approach.
We chose the topic of spider phobia as an example for the study, because on the one hand the fear can be triggered well by images in the fMRI scanner and on the other hand there are many comparative data from other fMRI studies.
Device data
Siemens Magnetom Prisma 3 Tesla MRT with 64 resp. 20 channel head coil
Setting
Brain scan 1
Subjects were exposed to 25 images of spiders, as well as 25 control images of animals (repeated and randomized) in the MRI scanner.
The first scan was followed by the application of the Mind Switch® Fear & Phobia App, on average for 100 minutes/subject. No conversation, distraction, or other activities occurred during this application.
Brain scan 2
Subjects were repeatedly exposed to the image set of 25 spider and 25 control images while their neural processing in the brain was measured.
Brain scan 3
After regular use of the Mind Switch® Fear & Phobia app (averaging a total of 5 hours per subject over 4 weeks), an MRI scan was again performed, during which subjects were repeatedly exposed to the image set of 25 spiders and 25 control images.
Results
Already after a single Mind Switch® Fear & Phobia App application of 100 minutes, there was a significant reduction in four brain areas. This effect increased in the second phase of the test and extended to 6 brain areas.
Conclusion Ass. Prof. Dr Kronbichler
"After repeated use (5 hours per person on average over 4 weeks) of the Mind Switch® Fear & Phobia App, a strong reduction in the response to images of spiders was demonstrated in brain areas usually strongly associated with phobias: In the right amygdala, average activity was reduced by 117%, and in the left amygdala by an average of 145%. In the visual areas of the brain, there was a reduction from 8 units to an average of -1.6 units, in somatosensory-motor regions from 15.1 to - 2.8 units, in the parietal lobe from 8.6 to -5.3 units, and in the cerebellum from an average of 12.2 to 2.7 units. In summary, these results clearly indicate that in people suffering from phobias, a significant reduction in brain activity is observed with repeated use of the app. And this is in brain areas associated with anxiety."
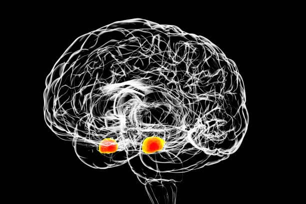
Study results presented graphically
Amygdala
Whole brain analysis
Whole brain analysis
We decided to conduct an fMRI study with our Austrian partners from Limbio OG.
An fMRI study is the ultimate scientific discipline for visualizing brain activity. It does not only rely on the conscious and subjective feedback of test subjects, but with the fMRI brain scanner it is possible to visualize unconscious brain activity by measuring blood flow.
Processes such as attention, visual processing, motivation, or even cognitive overload can thus be depicted without relying on subjective responses from test subjects. As a "window to the truth," fMRI is also used for the scientific study of numerous diseases of the brain. These include Parkinson's syndrome, Huntington's disease, dystonia (persistent muscle spasms), amnesia (memory impairment), post-stroke, dementia, or depression. Thus, fMRI is a very reliable and informative method for countless medical and psychological fields of application.
Bye-bye stress, hello ease with the Mind Switch® App
No matter what topic is currently on your mind: With the new Mind Switch® App you have a tool at hand to reduce any stress, conflicts and worries quickly & easily.
- Revolutionary: Fast, unique & new method with effect after just a few minutes
- For everyday life and as immediate help
- Effect confirmed by brain scan (fMRI) & international patent pending
Test now for free!



